
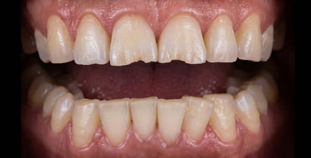
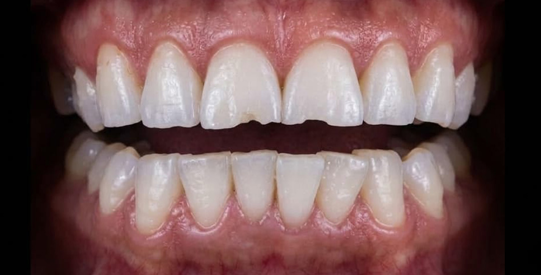
What to do and not to do after whitening
After in-office whitening you want to make sure you care for your teeth properly to ensure the best results possible.
A.S., RDH
Dental Hygienist (USA)BSc
Al Wasl Clinic – Dubai
Experienced dental professionals ensuring safe whitening
Modern dental equipment for effective stain removal
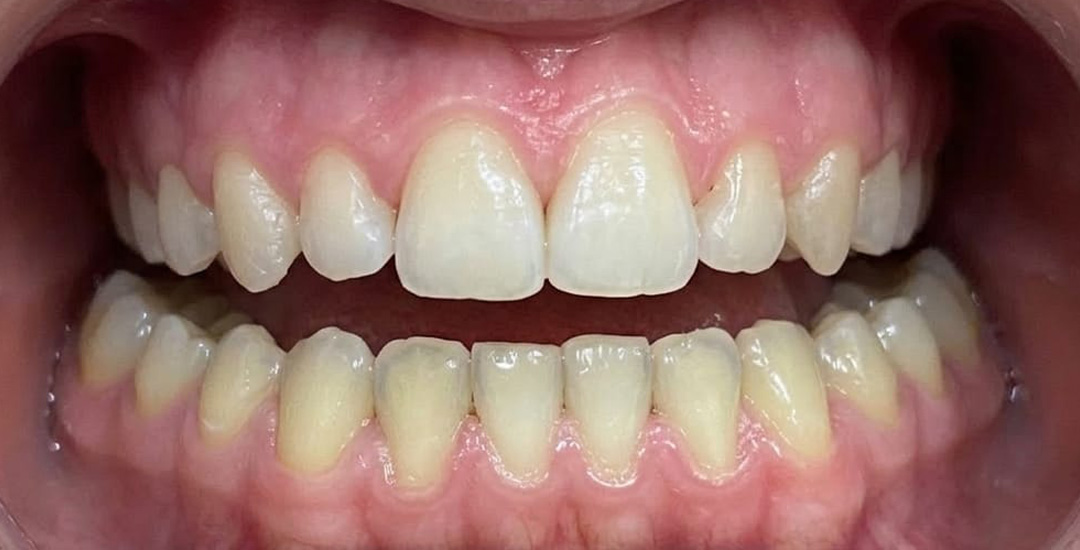
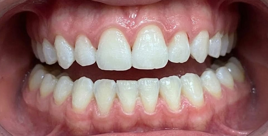
Noticeably whiter teeth in just one session.
Gentle procedure with minimal tooth sensitivity.
Professional whitening that lasts longer than home kits.
Perfect treatment for busy schedules in Dubai.

After in-office whitening you want to make sure you care for your teeth properly to ensure the best results possible.






We have completed multiple successful whitening cases across all our locations.
Yes. Professional in-house whitening is performed under clinical supervision using approved whitening agents designed for safe cosmetic enhancement.
When performed professionally, whitening does not damage enamel. The procedure is carefully controlled and tailored to your dental condition.
Patients with untreated cavities, gum disease, or certain dental restorations may need alternative options. Our team will advise you during consultation.
Our team of experienced dentists and specialists delivers high-quality care using the latest techniques, ensuring safe, effective, and lasting results.
We listen first. Every treatment plan is tailored to your individual needs, comfort, and long-term oral health goals.
From digital diagnostics to modern treatment solutions, we use cutting-edge dental technology for precision, comfort, and efficiency.
Our clinic is designed to reduce anxiety and promote relaxation, making every visit a stress-free and positive experience.
We prioritize your comfort with a gentle touch and a calm, relaxing environment, making every hygiene visit stress-free and refreshing.
We empower every patient with personalized tips and guidance to maintain a healthy smile between visits and prevent future dental issues.
© 2026 Dental Studio. All Rights Reserved. Privacy Policy. MOH EH6NKOMI-220725